#脫臼

男家中跌倒竟釀「手肘恐怖三聯症」!醫示警8大併發症:恐神經受損

男家中跌倒竟釀「手肘恐怖三聯症」!醫示警8大併發症:恐神經受損#脫臼

一名70歲陳先生在家中不小心跌倒,左手手肘直接撞到地上,手肘嚴重變形、劇烈疼痛、活動困難,家人趕緊將陳先生送到醫院急診,X光發現患者手肘呈現粉碎性骨折還有手肘關節脫臼。急診醫師將手肘關節復位後,再安排電腦斷層進行檢查,發現這是令國內外骨科醫師都十分頭痛的「手肘恐怖三聯症」(Terrible Triad Injury of Elbow)。

肩膀脫臼喬不攏⋯恐是因「肩盂唇損傷」導致?醫曝常見原因、症狀

肩膀脫臼喬不攏⋯恐是因「肩盂唇損傷」導致?醫曝常見原因、症狀#脫臼

肩關節是人體中最常發生脫臼的關節,其中「肩盂唇損傷」大多因運動損傷或摔倒而發生,導致肩膀和手臂會非常疼痛,該疾病大多不會有嚴重併發症,但疼痛可能會影響睡眠,降低患者的生活品質。對此,骨科醫師建議,導致關節脫臼的原因很多,並且嚴重程度也有所不同,因此當關節處受到傷害並出現疼痛,應尋求專科醫師診療。

打籃球膝脫臼 注意血管損傷害截肢

打籃球膝脫臼 注意血管損傷害截肢#脫臼

(優活健康網新聞部/綜合報導)59歲的陳女士熱愛運動,膝關節的十字韌帶曾受過傷,某次做瑜珈結束前,左腿突然抽筋讓她摔倒,因膝蓋著地而造成膝關節脫臼,送醫復位處置時發現血管斷裂。轉診到大醫院,左腿組織大量出血腫脹,已出現感覺異常且不能動,接近急性缺氧。緊急用腳上大隱靜脈做繞道手術,將斷掉的血管兩端接合恢復灌流及脈動,讓組織恢復灌流。而因壓力上升有腔室症候群現象,第一時間做筋膜切開術將壓力釋放,減低肌肉組織壞死及截肢的危險,目前陳女士恢復情況良好。急性栓塞5症狀 疼痛、泛白、麻木等大林慈濟醫院心臟血管外科醫師黃世銘表示,膝關節後方窩中央深部有一個膕動脈,與股骨膕面及膝關節囊後部緊貼到小腿,再到末端小血管。膝關節脫臼或復位時容易損傷膕動脈,膕動脈只有一條,如果斷掉,末梢就沒有血液供應,腳會開始出現腫脹及冰冷,甚至變紫、變黑,有截肢危機。一般腳的急性栓塞有5個症狀,(1)首先會痛,甚至摸不到脈搏,(2)接下來末梢組織會變比較蒼白,(3)末梢會感覺麻木、(4)異常疼痛、(5)失去活動能力。血管處置盡可能在黃金6小時內恢復灌流,減少缺血時間及對於四肢血管的損傷。足球、籃球等高強度拉扯運動 應以護膝保護黃世銘醫師提醒,受傷後的肌肉組織急性缺血,如超過4小時以上持續腫脹,可能開始有軟組織壞死,肌肉軟組織的壓力會高於微血管灌流壓,失去供應氧氣代謝的能力。舉凡高強度拉扯的運動,可能影響關節活動,如足球、籃球、羽球、橄欖球等,或膝關節曾經受傷者,在活動時應加以護膝保護,可避免關節容易受傷脫臼,降低運動傷害。

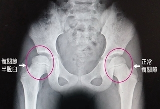
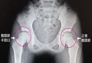
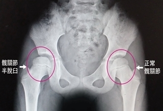
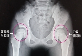
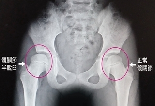
走路像鴨子 竟是髖關節脫臼

走路像鴨子 竟是髖關節脫臼#脫臼

(優活健康網記者徐平/綜合報導)一名初學滑直排輪的8歲女童,屢屢摔倒,一直感覺右邊腹股溝疼痛,後來走路出現一跛一跛情況,就醫後經X光檢查發現,該女童的右側髖關節半脫臼,醫師提醒,髖關節半脫臼如未妥善治療,有可能會導致脊椎側彎或走路外八字的嚴重後果。假性長短腳 右腳有些微較短澄清醫院中港院區復健科主治醫師董莉貞表示,經髖關節外展理學檢查發現女學童的右側腹股溝部位有疼痛現象,而兩腳已出現假性長短腳,右腳有些微較短,強烈懷疑是髖關節的問題。做X光檢查,證實是右側髖關節半脫臼,從影像可以看出她的股骨頭有部分跑出髖臼之外,才造成腹股溝疼痛及假性長短腳現象,由於病情並不嚴重,建議立即進行復健治療。徒手進行髖關節展延並加強臀肌力量復健治療部主任蔡永裕指出,由於該女童的髖關節半脫臼導致關節活動角度受限,是一跛一跛走進復健治療部,經短波治療儀增加關節的延展性,再徒手進行髖關節展延運動並加強臀肌力量,讓半脫臼的髖關節即早恢復到原來的活動度,經持續2週復健治療,該女童已恢復正常走路姿態。臀部橫向皺痕不對稱 即早求醫孩童罹患髖關節半脫臼並不容易,除了先天性外,有可能因經常性的撞擊所造成,如果未接受妥善的復健治療,可能會導致脊椎側彎、跛行,董莉貞醫師強調,至於先天性的髖關節半脫臼,家長要細心觀察,如發現小孩兩側臀部橫向皺痕不對稱、長短腳、走起路來外八字像鴨子走路一樣,就要即早求醫,接受最適當的治療。

別用手摸 牙齒脫臼快泡鮮奶!

別用手摸 牙齒脫臼快泡鮮奶!#脫臼

(優活健康網編輯部/綜合整理)牙根的周圍有一層「牙周膜」,是牙根跟骨頭的軟組織,像一層薄薄的軟墊,所有的牙根並非緊緊扣住骨頭,而是有一層緩和衝撞力的薄膜,所以即使是正常的牙齒,如果你用手指按著門牙咬一咬,也會感到門牙有微微的晃動。牙周膜仍是活的 有機會長回去牙齒脫臼,表示牙周膜被整片撕裂了,如果趕緊將牙齒塞回去,牙周膜仍是活的,依舊有機會生長回去,讓牙根穩定下來,不過需要好幾個月不被打擾(不能用力咬,且用材料將它鄰近的牙固定起來)的復原。不需等待牙醫師 直接塞回去不過,要將脫臼的牙齒塞回去,重點是:牙周膜是不是活的?如果牙齒仍在齒槽骨中:不需等待牙醫師,先直接塞回去,馬上去找牙醫,別忘了一定要告訴牙醫,這顆牙是脫出一半又塞回去的,好讓他知道牙周膜已經被破壞過了。推到舌頭底下 浸泡在口水中如果牙齒整顆脫出,但仍在口中:直接含住這顆牙齒,不要用手碰它,把它推到舌頭底下,讓它浸泡在口水中,馬上去找牙醫師放回去,說不定還能用,如果牙齒整顆脫出,而且已經掉在地上:很重要,注意聽好了:1)    立刻撿起來,千萬不要碰到牙根部分,只拿住牙冠,一但碰到牙根表面的牙周膜,可能會剝離、汙染、破壞牙周膜,減少生長復原的機會。2)    立刻含進口中,擺在舌下,用口水泡住,不要嫌髒,不要用水沖洗,不然牙周膜細胞會受汙染,還會吸水膨脹破壞細胞,反而沒用了。3)    如果可以找到冷鮮奶,立刻去買一盒,打開蓋子,把牙齒泡進去,保持滋養和活性,記得,一定要用冷鮮奶,加熱的奶就會直接把牙周膜細胞弄熟了。保持牙周膜活性 增加固定機會以上的步驟都是為了保持牙周膜的活性,增加牙齒固定回齒槽骨的機會,無論如何,這種牙齒都是死定了,不需等它疼痛或發黑,馬上先進行根管治療,以求保留最好的牙齒品質。(本文摘自/啊~請張嘴:張草看牙記/皇冠出版)

好神!男腰椎脫臼 無損神經

好神!男腰椎脫臼 無損神經#脫臼

(優活健康網記者徐平/綜合報導)一名59歲許姓男患者,因車禍造成腰椎第4與第5節創傷性脫臼,導致腰部以下無法活動,送醫檢查後,發現患者的腰椎板雖然因外力重擊,竟沒有神經功能缺損,因此在進行脊椎內固定手術後復原良好,住院1周後即返家休養,下肢活動無任何問題。第1次處理不當 致習慣性脫臼脫臼即是關節脫位,脫臼屬於關節的不穩定狀態,常見於激烈的活動之後,發生脫臼後,患者會感到關節劇烈疼痛,救醫後通常會採用復位療法來治療,對於後續狀況靜觀其變,而當第一次脫臼處理不當,比如因無照攝X光而無法得知確切患部情形,會造成習慣性脫臼。神經獲減壓 沒有刺傷骨板碎片童綜合醫院骨科部醫師郭家孝表示,通常車禍造成的脊椎創傷性脫臼,幾乎都會傷害到脊髓神經,而在外科手術後,需進行長時間的復健才能逐漸恢復功能運作,但個案患者情形好比外力在撞擊開骨板後,神經立即獲得減壓空間,且骨板碎片也沒有刺傷神經,因此才讓脊髓神經沒有受到損傷,這樣情形非常罕見。脊髓神經最易受傷的2個部位即為頸椎與腰椎,遇到車禍、暴力、高處墜落或運動傷害都可能導致,受傷的嚴重程度則會影響病人預後,而許姓患者發生如此嚴重之脫臼,但無傷及神經功能,手術的困難度比一般更高,且不確定性也更多,可能在手術準備或脊椎骨復位時發生更嚴重損傷,然而術後功能回復良好,目前行走也無任何問題。 

脫臼處理要即時 延誤恐缺血性壞死

脫臼處理要即時 延誤恐缺血性壞死#脫臼

(優活健康網記者湯蕎伊/綜合報導)一位81歲謝先生日前因車禍受傷住院治療,因腦部有輕微出血,住院期間醫師專注其腦部狀況,沒有另會骨科醫師處理足踝脫臼骨折之傷勢,導致謝先生腳踝疼痛不已,出院後才緊急到骨科醫院治療,經手術處理後,目前可藉由拐杖行走,並持續追蹤觀察。當關節發生脫臼時,傷者會有立即且重度疼痛、腫脹、瘀傷等症狀,應緊急處理將其復位,若時間拖太久,不僅復位困難,甚至會因骨頭離開血液太久造成缺血性壞死,此次個案為足踝關節骨折合併脫臼,不僅因患者年紀大、復原較慢,加上車禍住院五天皆未做緊急處理,導致在手術治療時需花費更多的時間與力氣,才能將骨頭復位,同時術後仍需觀察三個月,確認骨頭是否有壞死,如有壞死,則需另外進行人工骨與其本身骨頭之關節融合手術,讓壞死的部分可以重新建立起來。脫臼多發生於20至50歲男性肩關節脫位也就是俗稱的脫臼,分為前脫位和後脫位,肩關節脫位多發生於20至50歲的成年男性,常見於撞擊性運動或容易跌倒的活動,如籃球、排球等激烈運動,因為突然的外力衝擊,讓肱骨衝破薄弱的肩關節囊前壁而導致,除了先天性肩關節發育不良或缺陷,如果肩關節首次脫位處理不當,或關節周圍軟組織未修復好而過早活動,日後可能導致習慣性脫位,不可不注意。一般的脫臼都可以透過復位方法來治療,只要處理得當,就不需要開刀,有些人以為來看骨科一定要開刀,因此不願意來醫院治療,就找路邊的拳頭師傅去「喬」,但其實是錯誤的觀念,雖然這些師傅都有學習復位手法,但由於沒有透過X光片作確認,很容易誤判,甚至越弄越嚴重,如果有脫臼的情況,還是要找有經驗的骨科醫生做詳細的檢查,才能對症下藥。

每天嚼口香糖5小時 女子下巴脫臼

每天嚼口香糖5小時 女子下巴脫臼#脫臼

(優活健康網實習記者張致筠/綜合報導)有些人習慣利用口香糖來提振精神、預防口臭,但是如果不小心「嚼過頭」,可能導致下顎僵硬、疼痛等問題。英國一名女子長時間咀嚼口香糖,造成下巴關節嚴重磨損,最終必須靠換顎手術才能脫困。導致關節磨損、肌肉變形 「開不了口」市面上販售多種口味的口香糖,對口香糖愛好者來說是多麼快樂的事情,而這名英國女子也不例外,大約5年前,該女子習慣餐後、喝完飲料都配上一片口香糖,沒想到一嚼就讓她嚼成癮,女子表示,平常上班時間,她都習慣嚼5小時以上,到了周末甚至超過7個小時,直到某次和朋友聊天時,一開口大笑發現自己下巴再也回不去,並且無法進食、說話才驚覺事情嚴重。經當地醫師診斷後,女子是因為長時間咀嚼口香糖,導致關節磨損及肌肉變形,必須進行長達半年的換顎手術治療,才能改善,且手術後會在她側臉上留下兩道疤痕,成了提醒她曾有過這項壞習慣的證明。唾液分泌過多牙齒易腐蝕 咀嚼時間勿超過20分雖然咀嚼口香糖可以刺激唾液分泌量增加,保持口氣清新、清潔口腔等,但如果過多的分泌可能會增加牙齒被細菌和酸性物質腐蝕的機率,因此,咀嚼口香糖必須注意時間,若超過20分鐘就要吐掉,以免增加細菌在口腔增生的機會。此外,醫師提醒,長時間咀嚼口香糖,會對上頜骨及下顎造成很大的傷害,除了像該女子一樣關節磨損、肌肉變形,嚴重還會導致下顎僵硬、疼痛等情況。

Menu