#走路姿勢

走路聲音大、腳常拖地走⋯小心是生病!醫揭「NG走路姿勢」可判斷

走路聲音大、腳常拖地走⋯小心是生病!醫揭「NG走路姿勢」可判斷#走路姿勢

疫情國境解封的第1個盛夏,民眾「報復性」出國旅遊,有人出國自助旅行,也有人獨自徒步朝聖,展開圓夢之旅。不管是什麼樣的旅程,都得仰賴「健腳」帶你去遠方。旅遊途中若雙腳發生不適狀況,該如何處理?要擁有健康有力的雙腿,正確的走路姿勢和平日的肌力訓練缺一不可。

修正步態與足部輔具 可改善足底疼痛

修正步態與足部輔具 可改善足底疼痛#走路姿勢

(優活健康網記者張桂榕/綜合報導)足底疼痛是現代生活常見的不適症狀,不論是青少年、上班族群、或是退休後的老年族群,都造成日常生活上的不方便。臨床常見的足部疼痛,有一部分是源於足部局部的因素,譬如足底筋膜炎、前蹠痛、因步態和受力不當造成的第五蹠骨疼痛、因副舟狀骨突出或過度內旋造成的內側足弓疼痛、跟腱疼痛、以及高跟鞋族群常發生的姆趾變形疼痛等等。雖然足底疼痛症狀輕微者可以在休息後自行緩解,但在許多情況下如果另有其他因素諸如:骨骼排列異常、走路的步態和力學上施力不當、以及更上游的神經與相關的筋膜緊繃或受壓迫等而導致的足部疼痛-則多半不易自然緩解,有一部分疼痛的原因,卻不是在腳本身,而是更上游的神經或筋膜緊繃或受壓迫,或者有不對稱的骨架排列(譬如脊椎、骨盆與下肢等)而造成次發性的足部疼痛。仔細檢查足底疼痛的原因對於足部局部的原因造成的疼痛,臨床上會先檢查靜態的足部結構,看看骨骼排列有沒有異常或不對稱,足弓是否過高或太塌,前後足有沒有過度內翻或外翻,軟組織是不是過度鬆弛或者緊繃。接下來可以研究患者在走路、跑步時的步態以分析在動態下各個關節施力和受力的交互關係。另外觀察患者和使用的鞋子之間的互動結果(譬如磨損方式和變形狀態)。也可以檢測其足底受壓的分布情況,看看是否和疼痛或長繭的位置相對應。有時足底疼痛的問題點並不在腳但有時候足部疼痛得原因並不是發生在足部本身,而是更上游的問題,譬如雙腿、骨盆、脊椎和神經筋膜等,就需要多花一些時間找原因和處理。例如是否有雙腳長不等的情況、是否因下肢骨折或外傷後造成阿基里斯腱攣縮、纖維化以致步行時無法充分做好踝關節的背屈、是否雙下肢後側以及延伸到背部甚至顱骨後方的淺背線的筋膜與其中的神經緊繃、單側或雙側的脊神經根壓迫導致的坐骨神經痛,都可能是足底疼痛的原因或加重因子。此類的問題比較複雜,往往需要影像檢查脊椎或下肢骨骼的排列,或者經由神經學檢查來尋找可能的原因,將上游的障礙排除,才能使得症狀獲得解決。針對足底疼痛的處理方式,可經由修正不當的步態、改善鞋具選擇,或者製作鞋墊或支架輔具來修正站立和步行時的生物力學,就往往可以得到解決。

鞋底的秘密? 走路姿勢影響健康

鞋底的秘密? 走路姿勢影響健康#走路姿勢

(優活健康網編輯部/綜合整理)由鞋子的磨損來評估步態,是個最準確且又有效的辦法,因為鞋子外觀變化是主人走路所累積出來的成果,不會因為一次暫時性的錯誤走路,就產生極大的影響。鞋底的磨損能透露什麼訊息?由左右腳的鞋面及鞋底做相互比對,可了解身體平衡的狀況,包括長短腳及脊椎側彎。鞋子磨損與步態的關聯理論上,鞋子穿久了之後產生磨損是正常的現象。但是,如果錯誤走路,尤其是駝背的人,鞋子的底會磨損的特別快,鞋頭也易於出現踢到的痕跡。走路有高低肩體態的人,左右腳的後跟就容易出現不同的磨損。由鞋子的磨損來評估步態,是個最準確且又有效的辦法,因為鞋子外觀變化是主人走路所累積出來的成果,不會因為一次暫時性的錯誤走路,就產生極大的影響。例如走路聲音大的人,幾乎都是穿著偏鬆大的鞋子,用前足先接地使得鞋尖產生異常的磨損、鞋子後跟產生嚴重摩擦拖地,而且幾乎都是用駝背的姿勢走路。進一步留意那些手拄著拐杖、走路駝背嚴重的個案,有很高的比例也都是此類型的步態,他們走路時屁股就像有千斤重的負擔、易腰痠背痛。走路聲音大的人,大部份會合併駝背,而且容易出現身體痠痛與足部疼痛的困擾。如果能夠用正確的步態走路,就會讓你抬頭挺胸,心情也會隨著改變而充滿自信,別人也會對你另眼相看。鞋子左右腳不同磨損的意義人類走路的步態千變萬化,由左右腳的鞋面及鞋底做相互的比對,可了解身體平衡的狀況,包括長短腳及脊椎側彎。如果左右腳後跟磨損有嚴重的差異時,經常會有脊椎側彎的現象;當左右腳後跟同時有嚴重磨損者,經常會見到O 型腳或膝蓋退化的問題。沒想到低頭走路對健康傷害那麼大!潘奶奶由女兒與孫子二人陪同,拄著拐杖,踏著沈重且急促的步伐來尋求服務。奶奶訴說十幾年前因車禍,右腳的腳踝因嚴重骨折而用釘子固定,因為代償運動的關係,後來左腳的膝蓋及髖關節都做了人工關節手術;這期間她一直努力用游泳做復健。近年因為走路越來越不穩而停止游泳,體重也突然暴增,現在連站都很吃力。由於走路怕跌倒,習慣彎腰駝背低頭走路,竟然常在路上撿到一塊錢。長短腿的臨床特徵由於人類是靠雙腳站立走路的動物,如果腳歪掉了,當然骨盆和脊椎也會受影響。人類無法歪著頭走直線,當左右腿因足弓或髖關節異常,產生假性的長短腿,骨盆就會產生歪曲或偏移,並促使身體的姿勢產生扭曲與歪斜做代償,嚴重者會讓膝蓋、髖關節產生異常的磨損,或產生脊椎側彎等結構的異常。臨床上所見的長短腿有極高的比例為假性長短腿(外觀性的長短),而非結構上的長短。一般常見的長短腿產生的主要因素有下列幾項: 骨盆傾斜:導因於髖關節力學上的運動變形。 肌肉萎縮:導因於小兒麻痺病毒感染、跟腱縮短、肌肉停用或少用。 關節變形:導因於關節炎的病變。自療處置的方法由於潘奶奶有明顯的長短腿的動作,走路左右擺動,不只左右腳的腳掌長厚繭,右腳腳跟因踩不到地而用腳掌踮著腳站立,全身肌肉特別是下肌緊繃,拿著助行器請她站著做肌肉評估就滿頭大汗,沒有一會兒就抱怨說:累了要休息一下!她站立的時候怕跌倒,用右腳掌接地站立,造成身體的重心往右前方傾斜而站不穩。處置過程找盡各種伸展及按摩的方法,皆無法讓潘奶奶的右腳腳跟踩地,最後反而是她建議,讓她背對牆壁,然後手握助行器,這樣她就敢直著上半身做屈蹲運動與伸展;接著在她孝順女兒耐心的陪伴下,奶奶的右腳腳跟總算踩到地上了,連她自己都很訝異此奇蹟!接著,使用訂製鞋墊的方法,彌補她左右腳的落差,再配合步態訓練,總算讓她可以抬頭挺胸用腳跟踩地走路。訓練過程她很高興的訴說,以前習慣低頭走路而常在路上撿到一塊錢,沒想到低頭走路對她的傷害有那麼大!前後花了二個半小時,潘奶奶總算能夠不用女兒攙扶,她在清脆且節奏穩定的拐杖聲,笑著走出門,而她女兒也高興的說,不用再擔心媽媽一個人在家裡跌倒的風險了!(本文摘自/走對路少生病/博思智庫出版)

腳跟著地很重要!調正走路姿勢5步驟

腳跟著地很重要!調正走路姿勢5步驟#走路姿勢

(優活健康網記者林奐妤/編輯整理)找出自己走路方式的缺點後,接著要學習正確的走路方式。重點有五項,包括維持正確的姿勢和體幹;確實擺動肩胛骨,手臂往後拉;腳和骨盆同時往前;腳板從腳跟著地;重心從腳跟移動到拇趾球。下面依序說明這五個重點:1)維持正確的姿勢和體幹/腹肌稍微使力,收小腹,左右肩胛骨自然收攏,挺胸,腰背不要蜷曲或前挺,然後重心平均分布在左右兩腳,以整個腳底板確實站好。以這樣的狀態,整個人放輕鬆。2)擺動肩胛骨,手臂往後拉/行走動作的第一動作是擺動手臂,不過與其說是前後「擺動」手臂,更正確的說法是用左右肩胛骨,把手臂往後拉。此外,手肘是否彎曲,需看行走速度。健走速度較快時,可稍微彎曲手肘,手臂較易揮動,也更容易加速。而通勤或出門購物等平常走路的時候,手肘保持伸直也沒關係。3)腳和骨盆同時往前/肩胛骨一活動,骨盆就會跟著動。手臂向後擺時,同一側的骨盆便會往前,腳也跟著往前。想像腳從骨處盆開始跨出,用整條腿跨出步伐。如果走路時膝蓋先往前,就是錯誤的走路方式,會造成下半身不舒服,必須學習從骨盆開始移動的正確動作。4)腳跟著地/跨出去的腳要從腳跟著地。只要在第三個動作時,腳隨著骨盆的動作確實往前,著地時就會是腳跟先著地。這時要注意腳尖不要向內或向外,而是筆直朝向前方。如果腳尖沒有確實朝前,會對膝蓋和髖關節造成負擔,引發疼痛。此外常穿高跟鞋的女性、缺乏運動的人會在無意間養成腳尖著地的習慣。發現自己有這種問題的人,一定要確實留心「以腳跟著地」。5)重心從腳跟移動到拇趾球/平常走路的時候或許不會去會注意重心的移動,但這也是個很重要的細節。腳著地之後,想像身體向前移動,上半身重量往腳的正上方壓上去。體幹的軸心就能維持垂直。接著讓體重從腳跟移動到拇趾球(拇趾根下方隆起的球狀部分)。最後以拇指球踩穩地面,這時另一側的骨盆和大腿應該就會被前往帶。接下來就是維持第一個步驟,重覆第二到第五的步驟,只要掌握要點,有節奏地行走,自然就能領會正確的動作。愉快健走激發幹勁 專注於冥想走路對男女老幼、任何人來說天經地義,卻也很容易因此忽視它的根本。我們每天都必須走路,若能學會正確的走路方式,就能夠毫不費勁、愉快地健走。不僅可以激發幹勁,讓人想要走得更久更遠,而且就步行禪來說,也更容易專注在步行時「懺悔」和「感謝」的冥想中。再者,要讓步行禪成為例行事務,能夠毫不費力、愉快地實踐是非常重要的。體幹維持筆直,正確地步行,可以讓步行禪的效果加倍。如果能在步行禪以外的時間也隨時維持正確姿勢,「身息心」效果自然會讓心神平靜下來。正確的姿勢就像正向心靈的胚胎,別只在實行步行禪時要求姿勢,無論何時何地,都請保持抬頭挺胸的正確姿勢!(本文摘自/步行禪:用走路靜心、紓壓,5分鐘心靈.生活整理術/三采文化)

走路膝蓋痛、小腿腫 當心5種NG習慣

走路膝蓋痛、小腿腫 當心5種NG習慣#走路姿勢

(優活健康網記者林奐妤/編輯整理)正確的走路方式,關鍵在於「體幹」。善用體幹走路,也就是運用背部的肩胛骨、腹部的腹肌、腰部至臀部的骨盆,就可以提升運動效果,舒適無壓地一路走下去。常聽說有人開始想要健走,卻出現膝蓋痛、小腿腫脹等問題。5種錯誤走路方式 駝背、挺肚、外八、傾斜、屈膝其實這些問題的原因,都是因為走路方式錯誤。當然,身體老化造成肌力衰退,以及關節的退化也可能是原因,但愈是這樣的人,愈需要知道正確的步行方式。在此我整理了多數人易犯的錯誤走路方式。請檢查自己平時的走路姿勢,看看是否也犯了同樣的毛病。錯誤駝背行走成天伏案工作,以及長時間使用手機或電腦,走起路來很容易彎腰駝背。駝背不只是背部蜷曲,肩膀和頭部也會往前突出。這樣的走路方式,容易造成肩頸僵硬、腰痛、大腿肌肉痠痛等問題。改善方法》背脊挺直,肩胛骨往中央收攏,挺胸,手臂大幅度擺動,敏捷地行走。錯誤挺肚行走多數女性會犯的錯誤姿勢,乍看之下很像抬頭挺胸,但其實是挺著肚子走路。過度強調「姿勢正確」的人、腹肌沒力的人,都容易有這樣的毛病。長期以這樣的姿勢走路,不僅腰痛,還會壓迫到膝關節,容易引發慢性膝蓋疼痛。如果重心再偏掉,受壓迫的一邊膝蓋遲早會出問題。改善方法》「正確的站姿」,掌握挺胸不挺肚的感覺。同時留意強化腹肌等體幹的肌肉。錯誤外八行走這是左右膝蓋向外彎曲的走路方式。如果不嚴重很難察覺,不過鞋跟總是磨損的人,就有可能走路外八。據說練過柔道等格鬥技的人,很多也會外八走路。女性似乎是骨盆外擴,從大腿根部整個向外打開,才會變成這樣的走路方式。男性也是一樣,如果坐的時候,膝蓋會在無意識間打開(坐的時候無法併攏)就要小心。如果持續外八走路,會對膝蓋和髖關節造成負擔。改善方法》走路時,腳尖保持朝正前方。因為重心有時會不平衡,行走時要注意體幹平衡,整個腳板確實踩在地面。錯誤傾斜行走這是重心偏一邊的走路方式。每個人有慣用手和慣用腳,或多或少都會往左右傾斜,但如果情況太誇張,就會影響到走路方式。這個壞毛病自己也很難察覺,但可以從鞋跟磨損的程度看出來。如果鞋子的某一隻磨損得特別快,表示重心總是壓在該側。以這樣的狀態長時間行走,可能會讓承受負擔那一側的膝蓋和腳踝疼痛,必須在日常生活中想辦法矯正。習慣蹺二郎腿的人,想想自己是否都把同一條腿疊在上面?為了維持身體平衡,最好不要蹺腿,但無論如何就是想翹腳時,最好要左右輪流。改善方法》站在全身鏡前,掌握筆直站立的感覺。走路時,體重要平均分配在左右兩腳。背包包時,不要總是用同一隻手拿或揹,必須左右輪流,分散重量。錯誤曲膝行走非常多穿高跟鞋的女性會曲膝行走。因為高跟鞋無法讓體重平均分散在腳底,重心很容易集中在腳尖,就無法使用整個腳底和腿部順暢走路。曲膝行走,不僅走路難受,膝蓋的負擔也非常大。當鞋跟愈高時,為了身體維持平衡,膝蓋承受的負擔也就愈大。經常穿高跟鞋,養成曲膝走路的習慣後,就會出現因為膝蓋軟骨磨損而引發關節炎、小腿腫脹、腰痛等毛病。建議最好穿上運動鞋或平底鞋,需要時再換高跟鞋。這種曲膝走路方式,也是運動不足的人和肌力不足的長輩常見的走路方式。只要學會正確的走路方式,就可以強化體幹,提升肌力,也能預防老化。改善方法》有曲膝走路習慣的人,走路時應該都是膝蓋先動。請注意不是膝蓋往前,而是整個大腿往前抬,從腳跟著地,體重壓在整個腳底。若得步行好一段路時,一定要換成低跟鞋。(本文摘自/步行禪:用走路靜心、紓壓,5分鐘心靈.生活整理術/三采文化)

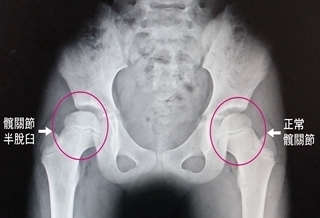
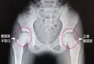
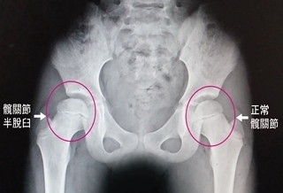
走路像鴨子 竟是髖關節脫臼

走路像鴨子 竟是髖關節脫臼#走路姿勢

(優活健康網記者徐平/綜合報導)一名初學滑直排輪的8歲女童,屢屢摔倒,一直感覺右邊腹股溝疼痛,後來走路出現一跛一跛情況,就醫後經X光檢查發現,該女童的右側髖關節半脫臼,醫師提醒,髖關節半脫臼如未妥善治療,有可能會導致脊椎側彎或走路外八字的嚴重後果。假性長短腳 右腳有些微較短澄清醫院中港院區復健科主治醫師董莉貞表示,經髖關節外展理學檢查發現女學童的右側腹股溝部位有疼痛現象,而兩腳已出現假性長短腳,右腳有些微較短,強烈懷疑是髖關節的問題。做X光檢查,證實是右側髖關節半脫臼,從影像可以看出她的股骨頭有部分跑出髖臼之外,才造成腹股溝疼痛及假性長短腳現象,由於病情並不嚴重,建議立即進行復健治療。徒手進行髖關節展延並加強臀肌力量復健治療部主任蔡永裕指出,由於該女童的髖關節半脫臼導致關節活動角度受限,是一跛一跛走進復健治療部,經短波治療儀增加關節的延展性,再徒手進行髖關節展延運動並加強臀肌力量,讓半脫臼的髖關節即早恢復到原來的活動度,經持續2週復健治療,該女童已恢復正常走路姿態。臀部橫向皺痕不對稱 即早求醫孩童罹患髖關節半脫臼並不容易,除了先天性外,有可能因經常性的撞擊所造成,如果未接受妥善的復健治療,可能會導致脊椎側彎、跛行,董莉貞醫師強調,至於先天性的髖關節半脫臼,家長要細心觀察,如發現小孩兩側臀部橫向皺痕不對稱、長短腳、走起路來外八字像鴨子走路一樣,就要即早求醫,接受最適當的治療。

走路不穩 恐為老人癡呆徵兆

走路不穩 恐為老人癡呆徵兆#走路姿勢

(優活健康網編輯部/綜合整理)腳部與腦之間有神經連線,只要腳部健康,腦部神經就健康,可避免失智與憂鬱,我們經常可以在報章雜誌及網路上看到相關的報導:走路可以促進老年人的認知功能,改善運動控制及工作記憶,維持腦神經的活力,醫學專家也透過觀察老年人的走路姿勢得知,走路變慢,變得不穩定者,很可能是阿茲海默症的先期徵兆。刺激腳部能幫助腦部活化我的鄰居楊太太,已經80幾歲了,家裡雖然有兒孫,但是她堅持親自每天上市場買菜,除了家裡到公車站有一段距離必須走路之外,到了市場逛一圈下來也要走不少路,她看起來相當健康,而且遇到鄰居都有說有笑,顯示腦筋相當靈光,但她先生很少出門,加上愛喝酒,3年前就患了失智症,往往一出門就找不到路回家,楊家夫婦的例子或許是巧合,但在一些醫學文獻中的確記載著:走路運動可以延緩失智症。吸入體內的氧 約20%被大腦消耗掉走路可以使大腦底部掌管記憶的海馬迴增長,可以強化記憶和促進腦部健康,可見腳部的行動與腦部息息相關,走路時腳部會有大量的資訊傳達腦部,有助於腦的活化,可以預防老來失智。失智症、阿茲海默症主要是一種源自腦部功能持續退化的疾病,大腦的重量雖僅占體重的2%,但卻是整個身體中消耗能量最多的部位,我們吸入體內的氧氣,約有20%被大腦消耗掉,可見腦神經工作繁忙,會消耗大量的電能,因此,腦內電能不足也會引起腦部退化。健走既安全又不必考慮天候因素走路雖然能夠活化腦部,但是要讓失智症、阿茲海默症患者到戶外健走,照顧上勢必產生很多困難,健走功不講求速度,住在療養院的患者可以繞著園區走,或在大禮堂、大教室圍成圓圈走,既安全、好照顧,又不必考慮氣候的因素,在家的患者則可繞著客廳走,由於家中客廳面積較小,一個方向走2、3圈之後,最好向後轉,走相反方向,以免身體重心偏向一邊。(本文摘自/健走功/商周出版) 

Menu