吃藥方式錯誤當心「食道潰傷」連喝水都痛!醫教2招:喝水●●毫升

吃藥方式錯誤當心「食道潰傷」連喝水都痛!醫教2招:喝水●●毫升

2023/5/23(2023/5/23 14:30更新)
你吃藥會喝多少水?「食道潰瘍」是一種嚴重的食道疾病,成因包括吞藥習慣不佳(水喝太少)、胃食道逆流、病原體感染或是吸菸、酗酒等。對此,醫師建議,民眾吃藥要小心,藥物要按時服用,也要正確服用,以免原本是治病的藥物,反而造成更大的傷害。

本篇文章目錄

當病人因為機能、構造或心理原因,造成進食時食物不易咀嚼、吞嚥或容易嗆到,即為「吞嚥困難。馨蕙馨醫院胃腸肝膽內視鏡中心主任吳宗勤於臉書粉絲頁表示,最近有幾位年輕人胸口疼痛合併吞嚥困難來門診,經檢查後是「食道潰傷」。

image
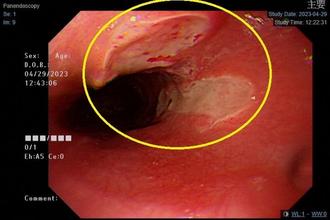
患者的食道潰傷。圖片來源:吳宗勤臉書粉絲專頁

延伸閱讀:
吞嚥困難怎麼辦?台大專家教「3招訓練法」在家就可做

食道潰瘍造成食道狹窄

「食道潰瘍」是指食道黏膜受到破壞所造成,反覆的食道破壞,或者嚴重的食道潰瘍所產生的纖維化會造成食道狹窄。吳宗勤表示,食道潰瘍通常女性好發,大概佔了7成,好發在食道中段較狹窄的位置,而症狀也根據潰傷程度不同:

  • 輕度:吞嚥固體食物時,有異物卡在中間伴有輕微疼痛。
  • 重度:潰瘍較深就會引起出血,甚至喝水都會感到疼痛。

延伸閱讀:
喉嚨卡卡有異物感,就是胃食道逆流?醫曝「聲帶水腫」有3大原因

用藥習慣不對引起潰傷

吳宗勤表示,吞嚥藥物造成潰傷,主要是因為皮膚科的抗生素,接下來就是止痛藥或者是膠囊狀的藥物。他表示,最重要的原因在於「吃藥的習慣不對」,如果吃藥只配一口水,甚至不喝水,用食物硬吞硬推,或者是吃完藥之後就馬上躺下,這種超級痛的潰瘍就會找上門。

然而,疼痛的時間因嚴重程度有差,患者一般至少會痛一個禮拜。吳宗勤表示,這時候除了胃乳(保護食道粘膜)以及最小顆的止痛藥之外,建議病人盡量吃一些清涼軟質的物品,例如豆花、牛奶、豆漿、布丁等等,並且要避免較硬、較燙的食物,否則只會更疼痛。

用藥喝水至少300毫升

吳宗勤表示,上述的案例是少見痛比較久、又比較痛的男性,原本看到這樣的潰瘍,他一度懷疑是巨細胞病毒(CMV)或皰疹病毒,因為該患者整整痛了快3週,所幸切片結果不是病毒造成,而是食道潰傷,而且疼痛在治療後有改善。

吳宗勤呼籲,民眾吃藥要小心,藥物要按時服用,也要正確服用,以免原本是治病的藥物反而造成更大的傷害。如有膠囊類或者是止痛藥抗生素,醫師沒有特別加註,請一定要在飯後服用,避免藥物可能黏在胃壁上造成胃的潰瘍。此外,他也指出正確的吃藥方式:

  • 喝水至少喝300毫升把藥物沖下胃部。
  • 藥後最少30分鐘別躺著,最好起來走一走。

《優活健康網》採訪編輯

你可能還會想看
加 uho 好友
熱門話題
Menu