牙周病導致「齒槽脊破損」?牙醫「1招」打好地基:後續植牙免擔心

牙周病導致「齒槽脊破損」?牙醫「1招」打好地基:後續植牙免擔心

2025/3/11
一名50歲患者,這幾個月以來,右側上顎第一大臼齒與第二大臼齒出現嚴重疼痛及非常大的動搖度,醫師檢查發現為牙周病導致牙槽脊破壞嚴重,建議拔除這2顆牙齒。由於病人擔心拔牙後齒槽脊會嚴重塌陷導致植牙困難,無法再擁有良好的咀嚼功能,一度讓他憂心抗拒拔牙⋯⋯

本篇文章目錄

醫師了解病人的擔憂後,特別擬訂重建牙齒治療計劃。拔除病人的2顆牙齒後,隨即進行「齒槽脊保存手術」,並保留齒槽脊最大化的寬度和高度。後續植牙的等待過程中,積極安排全口牙周病治療,讓病人無需再進行大範圍補骨手術,順利在右側上顎缺牙區完成植牙重建治療,也恢復健康的咬合功能。

牙周病會破壞齒槽骨

奇美醫院牙周病科主治醫師李芳欣說明,牙周病是一種常見的口腔疾病,由於牙菌斑及牙結石的堆積,導致牙齦發炎,進而破壞齒槽骨。齒槽脊是支撐牙齒的重要結構,若因牙周病而受損,易導致牙齒鬆動甚至脫落,嚴重影響口腔健康與生活品質,且拔牙後齒槽脊也會嚴重萎縮,造成後續假牙重建變得困難。

延伸閱讀:
牙痛如何快速止痛?能吃普拿疼嗎?關於「牙痛」你必須知道的5件事

「齒槽脊保存術」防止齒槽萎縮

李芳欣指出,想要避免齒槽脊萎縮,可以進行「齒槽脊保存術」。當牙齒拔除後,失去牙根的支撐,周圍的齒槽骨會逐漸萎縮並吸收,特別是在牙周病或感染嚴重的病例中,骨脊的喪失可能更為明顯,此手術的核心目的是在拔牙後即刻介入,減少骨脊流失的風險。

李芳欣指出,齒槽脊保存術的治療方式有很多種。對於較簡單的情況,可以在拔牙後的窩洞內放置膠原蛋白,這樣能促進凝血並幫助癒合、減少發炎。對於大範圍骨損傷的情況,則會使用吸收較慢的骨移植材料(如自體骨或人工合成骨)來填充窩洞,再加上一層再生膜來幫助骨再生。不過,每個患者的情況不同,需要由專業醫師判斷找到最適合的選擇。

image
右側上顎第一和第二大臼齒嚴重牙周病破壞,牙肉和骨頭塌陷。(圖片來源:奇美醫院)
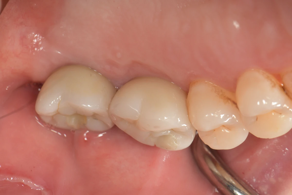
image
拔牙即刻做齒槽脊保存手術,順利以2顆植牙假牙做重建。(圖片來源:奇美醫院)

延伸閱讀:
台灣牙周病盛行率逾8成!牙醫揭「忽略1件事」50萬老人恐全口無牙

拔牙手術需事前計劃

李芳欣表示,在進行拔牙手術前,除了告知醫師自身的健康狀況與用藥情況外,了解後續假牙製作方式及美觀需求也是關鍵步驟。齒槽脊保存術不僅能保持齒槽脊的形態,還能有效避免拔牙後牙齦和骨頭塌陷,從而維持牙齒的美觀和功能。

齒槽脊保存術對於有計畫進行植牙的病人來說,能有效提升植體穩定性和成功率。不過也要注意,此手術雖然能減少骨頭吸收,但補骨量仍有其限制。此外,與直接拔牙相比,此類手術需要等待骨粉癒合,因此植體植入的時間點會相對延後,病人需有心理準備。


歡迎加入《優活健康網》line好友,更多醫療新知搶先看!

《優活健康網》採訪編輯

你可能還會想看
加 uho 好友
熱門話題
Menu