男子喉嚨卡「1.7公分魚刺」竟穿破主動脈!醫揭「1狀況」致死率超高

男子喉嚨卡「1.7公分魚刺」竟穿破主動脈!醫揭「1狀況」致死率超高

2023/11/23(2023/11/23 15:55更新)
一名72歲男士因發燒、背痛、右上腹痛由救護車送至奇美醫院急診就醫,抵達急診室時,血壓只有81/65mmHg(正常值為120/80mmHg)、心跳每分鐘為95次(正常值約每分鐘60~100次)。急診醫師緊急影像學檢查發現,該名患者疑似「主動脈瘤破裂」,立即通知心臟血管外科醫師協助處置⋯

本篇文章目錄

誤食魚刺腸胃出血

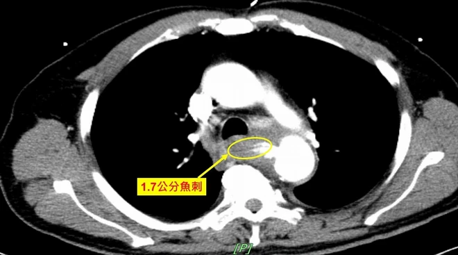
醫師檢查後發現疑似異物穿破食道,並刺穿主動脈造成「主動脈-食道廔管」,立即請急診醫師置入鼻胃管並詢問病史。患者告知1個多月前吃吳郭魚時,曾誤吞食1.7公分的魚刺,因身體無礙因此並未就醫。

由於鼻胃管洗胃為鮮紅血色,醫師研判主動脈-食道廔管併降主動脈感染性假性動脈瘤破裂,造成腸胃道大量出血,緊急執行主動脈內覆膜支架置放手術,穩定生命徵象,後續會同胸腔外科進行主動脈切除置換術、食道切除清除感染源以及第3階段的食道重建手術。

延伸閱讀:
魚刺卡喉嚨怎麼辦?會自己消失嗎?教你3招「正確自救法」別亂喝水

「主動脈-食道廔管」罕見又致命

奇美醫療財團法人奇美醫院心臟血管外科主治醫師吳依璇指出,「主動脈-食道廔管」是一種危及生命的急症,更是誤食異物後死亡率最高的狀況,是一種非常罕見但致命的疾病,必須早期警覺並及時治療。

image
患者告吃吳郭魚時曾誤吞食1.7公分的魚刺,刺穿主動脈造成「主動脈-食道廔管」。(圖片來源:奇美醫院)

吳依璇解釋,食道就在主動脈的前方,若食道有嚴重穿刺傷,恐導致主動脈的高壓血液透過相連接之廔管(傷口)全往食道灌注,若未及時治療,恐造成大吐血、膿胸、敗血性休克等情況。根據國外醫學文獻統計顯示,該急症致死率極高,即使經多次手術,也只有6成的病人能存活出院,4成的病人存活滿1年。

延伸閱讀:
喉嚨卡卡有異物感,就是胃食道逆流?醫曝「聲帶水腫」有3大原因

「1手術」搶救性命

吳依璇說明,在過去的十多年間,主動脈破裂的病危病人接受手術後挽回生命,其實都是「主動脈內覆膜支架置放手術」的功勞,再加上主動脈內覆膜支架置放手術傷口很小,以致傳統開胸或開腹進行主動脈手術已經較不成主流。

不過上述個案的情況,就需要併用2種手術方式,經過3階段手術才得以救命。在阻止主動脈大出血的情況下,患者才能接受足夠的抗生素治療到血液培養陰性,並接受後續多次手術,最後得以存活。

吳依璇呼籲,主動脈-食道廔管會造成主動脈破裂大出血,進而導致死亡,民眾如有誤食異物的情況,千萬不要嘗試大口吞飯、喝醋、以手指催吐或採用偏方,恐讓異物越卡越深,反而加重病情造成二次傷害。


歡迎加入《優活健康網》line好友,更多醫療新知搶先看!

《優活健康網》採訪編輯

你可能還會想看
加 uho 好友
熱門話題
Menu