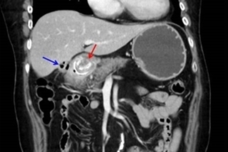
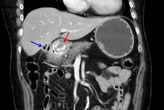
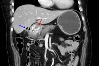
(優活健康網記者徐平/綜合報導)出現腹部疼痛症狀別輕忽,醫師提醒兇手極有可能是膽結石!一名約35歲李姓女子,因為上腹疼痛,嘴唇發白到冒冷汗,到肝膽腸胃科求診。抽血檢查發現患者肝指數高升,GPT超過500 IU/L(正常值為7~35 IU/L),醫師透過腹部超音波檢查發現原來患者是因為膽結石引起急性肝炎及急性膽囊炎。醫師提醒,若膽結石阻塞在膽囊出口或膽道,可能會引起膽囊炎、膽道炎或併發急性肝炎等肝功能異常,不可不慎。膽結石發生率逐年增加、年輕化南投醫肝膽腸胃科醫師洪弘昌表示,根據期刊研究,膽結石發生率有逐年增加傾向,年齡亦有年輕化的趨勢。肝膽關係密切,肝臟製造分泌膽汁,經膽管送至膽囊暫時儲存,再送至十二指腸吸收消化。大多數初期或較小顆的膽結石患者沒有明顯的症狀,而一旦開始出現不適的症狀,患者多半有右上腹疼痛、上腹部飽脹感或悶痛感、時而打嗝噁心嘔吐等症狀,甚至進一步疼痛到後背或後肩,這種突然的劇痛往往令患者無法忍受,緊急至急診就醫緩解和接受進一步治療。膽囊切除後要以清淡飲食為主南投醫院外科主任李博彰表示,運用腹腔鏡進行膽囊微創切除手術,相對於傳統手術具有較低的死亡率,可縮短住院時間、減少組織傷害。膽囊切除並不會影響身體主要維生系統的運作,傷口癒合後,日常行動及作息如同一般人,並不會有太大差異。但由於膽汁主要消化油脂類的食物,所以膽囊切除後的飲食必須以清淡為主。建議採取低油脂、低膽固醇的飲食,民眾可進一步諮詢醫師及營養師,依據每個人的身體狀況,獲得量身訂做的實用指南。







