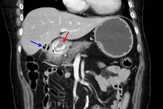
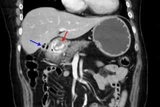
(優活健康網記者徐平/綜合報導)一位60多歲女子,長期有高血壓和糖尿病,也患有膽囊結石,平常斷斷續續有噁心嘔吐、上腹痛等膽囊結石典型症狀,近日因連續幾天上腹嚴重疼痛及頻繁嘔吐,甚至吐到全身無力才就醫。4公分膽囊掉出膽囊 胃完全阻塞胃鏡檢查顯示十二指腸處有一巨大結石,安排電腦斷層進一步檢查,發現有1顆約4公分的膽囊結石掉出膽囊,導致胃完全性阻塞,確診為膽囊結石的罕見併發症「布佛雷氏症候群(Bouveret's Syndrome)」,醫師安排手術取出十二指腸內的結石,個案術後復原良好,可正常進食,1週後康復返家。新竹馬偕紀念醫院一般外科葉孟青、張政傑醫師表示,由於個案長期患有膽囊結石,當結石脫落,並由膽腸間不正常的連通瘻管掉至小腸,嵌頓於十二指腸內,就造成胃部完全阻塞,醫學上稱為「布佛雷氏症候群(Bouveret's Syndrome)」,是膽囊結石的罕見併發之一。「布佛雷氏症候群」 僅1~3%發生率若沒有及時接受手術治療,可能產生膽囊炎、膽管炎、阻塞性黃疸、腸阻塞,甚至引起敗血症等併發症,膽囊結石病患中,僅1%患者臨床會呈現腸阻塞症狀,這是因為膽囊結石長期刺激造成慢性膽囊炎,時間一久結石磨穿發炎的膽囊壁,形成與小腸間的瘻管,結石因此掉入小腸造成阻塞。葉孟青醫師表示,阻塞處一般以小腸末端的迴腸最常見,因為迴腸是小腸最狹窄的地方,約佔60~70%,像個案阻塞在十二指腸處,造成胃出口阻塞的「布佛雷氏症候群」最罕見,僅1~3%左右。右上腹疼痛、餐後腹痛、嘔吐等症狀葉孟青醫師指出,國內每年有數萬人被診斷出有膽囊結石,多數患者沒有明顯症狀,很多都是健檢意外發現,不過約有20~30%的膽囊結石患者會伴隨如右上腹疼痛、餐後腹痛、嘔吐、噁心、右肩疼痛等症狀,一旦症狀頻繁或持續出現,例如劇痛、嘔吐超過6個小時,一定要立即就醫。







