認識兒童的發展遲緩
2007/7/12(2022/3/15 21:28更新)
生長與發展
生長(growth)是指身體的逐漸長大,例如頭圍變大、身高變長或體重變重。 發展(development)則是指經由腦部的成熟,由不會(例如不會坐不會爬不會說話)到會(例如會坐會爬會說話)的過程。
發展遲緩
遲緩的意思就是慢了,也就是說大部分的孩子都「會」的時候,這個孩子卻還是「不會」,那就有可能是「發展」遲緩兒童。 發展遲緩是腦組織及功能的異常,可因各種不同的原因而引起。 大家都聽過龜兔賽跑的故事 發展遲緩兒童好比那隻落後緩慢的烏龜,但只要一直前進就是一件好事,至於能否到達終點就需要時間的追蹤觀察。
發展遲緩的定義
發展遲緩之特殊兒童係指認知發展、生理發展、語言及溝通發展、心理社會發展或生活自理技能等方面有異常或可預期會有發展異常之情形,而需要接受早期療育服務之未滿六歲之特殊兒童。
發展遲緩兒童的盛行率
根據聯合國世界衛生組織的統計,發展遲緩兒童約佔六歲以下兒童人口的 6%~ 8%。 以台灣六歲以下兒童有一百五十萬人估算,則約有九至十二萬位發展遲緩兒童。
發展遲緩兒童的病因
- 高危險群兒童
-- 建立通報制度及定期主動追蹤
-- 後天環境因素 - 靜態型相對於進行性腦病變
- 五歲以前稱發展遲緩,五歲以後則稱智能障礙。
- 任何影響神經系統成熟之生物因素及環境因素。
-- 產前:先天畸型、染色體異常、藥物毒品、先天感染、早產等。
-- 產中:生產時腦傷、新生兒窒息症。
-- 產後:代謝異常、細胞胞器異常疾病、內因性毒素、營養不良、內分泌異常、中樞神經感染、頭部外傷、腦腫瘤、神經皮膚症候群、其他系統性疾病。 - 但有不少比例仍找不到特定的原因,即所謂原因不明型。
發展遲緩兒童的診斷
- 詳細的生產史、過去史、家族史、發展史(緩慢的進步或退化?)、有無癲癇?、主要照顧者及居家環境等。
- 理學及神經學檢查 生長狀態(包括頭圍)、外觀、皮膚、四肢、肝脾大小、眼耳功能、詳細神經學檢查及初步發展篩檢。
- 實驗室檢查 抽血生化檢查、染色體或基因檢查、腦波、聽力或視力檢查、相關腦部放射科檢查。
- 各專業的相關會診及聯合評估

唐氏症
脆弱X染色體症候群
小胖威利症候群
Apert 症候群
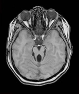
一歲男童有發展遲緩及低張力,腦部磁振照影出現特別的臼齒症狀(molar tooth sign)
Joubert 症候群
新陳代謝胞器異常疾病
- 新生兒先天代謝疾病篩檢。
- 罕見先天代謝異常疾病血片串聯質譜儀篩檢。
有無合併其他相關疾病
- 特定疾病有特定易發生的合併症
- 神經系統疾病 --腦性麻痺、肌肉無力、癲癇等
- 眼耳等感官知覺異常
- 精神心智方面
- 其他生理系統疾病
-- 心臟病、消化系統疾病、生長遲滯等
發展功能的評估鑑定
- 發展各項目的客觀評量
-- 貝氏嬰幼兒發展測驗
-- 魏氏學齡前智力測驗
-- 魏氏智力測驗
-- Leiter International Scale - 自閉症? 注意力缺陷過動症? 情緒行為障礙? 學習障礙?
- 聽障及視障病童的評估修正
發展遲緩的治療
- 內科或外科醫療及定期回診
- 復健早期療育
- 特殊教育
- 心理扶持
- 社會資源福利
早期療育的內容
- 設於醫療、社會福利及教育體制內之相關機構
- 父母及家庭的角色
發展遲緩兒童的早期發現 – 預防
- 對可能造成發展遲緩兒童的病因加以防範
- 包括產前、生產時及產後的各種可以預防的狀況
發展遲緩的早期發現
- 一般兒童之健康篩檢
-- 新生兒篩檢
-- 健兒門診
-- 教育及保育機構之高度警覺 - 高危險嬰幼兒之主動追蹤
-- 一般生理疾病之高危險嬰幼兒
-- 非一般生理疾病之高危險嬰幼兒 - 父母、保母之角色
發展遲緩的預後
- 病因和嚴重度與預後最有關係
- 有無其他合併的內科疾病
- 照顧的環境,進入社會的主流
(本文作者為 高雄榮總兒童神經科主治醫師 陳珠墐)
你可能還會想看