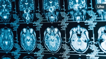
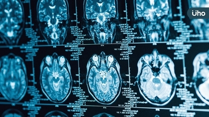
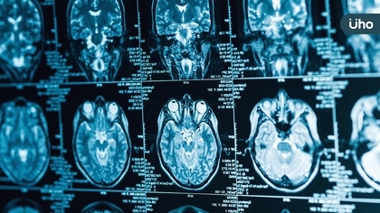
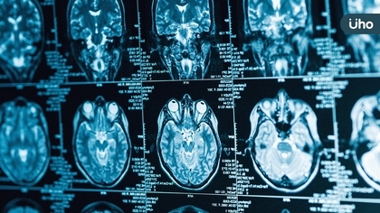
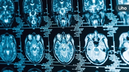
國家醫療品質獎由財團法人醫院評鑑暨醫療品質策進會主辦,是國內醫療品質領域的權威獎項。第23屆國家醫療品質獎(NHQA)頒獎典禮12日下午於張榮發基金會舉行,臺北榮總大放異彩,共計獲得22件各類獎項。 臺北榮總持續導入人工智慧與大數據分析等新技術,優化醫院服務流程與疾病診斷治療,改善病人就醫體驗,在住診、手術、急診、門診、藥事、與行政管理等六大領域皆獲得認證標章,其中五項是優良等級,榮獲「智慧醫院全機構標章」的最高肯定,由賴清德副總統親自頒發,臺北榮總陳威明院長代表領獎。在受獎記者會上,陳威明院長特別強調,智慧科技導入醫療領域,最重要的目的是改善病人的醫療照護,也同時減少醫護人員工作負擔,讓病人和醫護一起更好。 臺北榮總醫療團隊合影 「中正紀念堂防疫急門診車來速醫療資訊系統」獲智慧醫療類智慧解決方案組銅獎 在疫情最艱困期間,臺北榮總廣受社會好評的「中正紀念堂防疫急門診車來速醫療資訊系統」獲得智慧醫療類智慧解決方案組銅獎的肯定,是科技導入防疫的重要成果。在臨床應用方面,人工智慧發展中心的「智慧腦影像平台:解析思覺失調症腦內風暴」,建構自動的影像分析工具,將腦影像上傳後,即可呈現三度空間大腦透視之腦病變結果,為知覺失調症患者提供客觀的診斷輔助工具,獲得智慧醫療類智慧解決方案佳作獎。 「嬰兒遠端監測智慧照護」得到智慧醫療類智慧解決方案特別獎 此外,新生兒醫療中心之「嬰兒遠端監測智慧照護」系統,為嬰兒穿戴智慧血氧與體溫偵測設備,並將監測數據上傳至雲端人工智慧監測平台進行分析,若有異常之生理訊號則即時通知照護者,可用於COVID-19負壓隔離病房監測、或用於高風險新生兒之居家照護,獲得智慧醫療類智慧解決方案特別獎肯定。另外,臺北榮總團隊在AI防護衣穿脫、急性心臟衰竭整體照護、及氣道處置之教育訓練、AR虛擬運動教學系統、培訓人員之智慧化雲端管理系統,皆獲得智慧醫療標章認證。 在實證醫學方面,2022年也是成績斐然,臺北榮總團隊獲得文獻查證菁英組金獎,在擬真應用上,獲得急重症照護組金獎與新人組銀獎的肯定。
