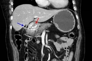
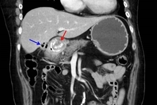
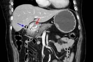
(優活健康網記者馮逸華/採訪報導)53歲林先生於8年前確診為晚期胃腸道基質瘤,在胃及肝臟皆發現有轉移癌細胞,經過外科手術切除及3線標靶藥物治療,仍發現腫瘤持續增大。經醫師評估採新型標靶藥物治療控制,不僅肝臟跟胃的腫瘤明顯縮小,腹膜的腫瘤甚至完全消失,治療期間也無太大副作用,讓林先生得以正常工作,維持原有的生活品質。林口長庚醫院一般外科主任葉俊男表示,胃腸道基質瘤(GIST)可能發生在胃腸道任何部位、且無明顯症狀,透過一般癌症篩檢或內視鏡不易察覺;多數病患確診往往已是癌症晚期、且併發轉移,隨著腫瘤長大產生阻塞,容易引發部位出血及食慾下降,若伴隨著吐血、解黑便及疼痛等症狀,此時要治癒已相當困難,只能透過標靶藥物控制延命。胃腸道基質瘤好發於中年,晚期治療以延長存活期為目標胃腸道基質瘤若在早期發現初期治療只需手術切除,再透過病理報告來評估患者復發的風險,大部分都可以痊癒,倘若到了後期發生轉移,就必須藉由標靶藥物治療。葉俊男指出,面對晚期胃腸道基質瘤,僅能透過標靶藥物以「延長存活期」為主要目標。台北榮總腫瘤醫學部醫師顏厥全表示,胃腸道基質瘤平均好發於50~60歲,一開始是在胃腸道中長出常見的肉瘤,最常發生於胃、大小腸,亦有少數發生在食道和直腸;其中約有70%屬於KIT基因突變,另有5~7%是PDGFRα基因突變。雖然目前臨床上真正的突變致病原因仍然不明,但透過標靶藥物穩定控制,一般仍可正常工作、生活,可再存活約5~8年。顏厥全進一步解釋,一般人體細胞中有2道類似「開關」的構造,用來調節激酶磷酸化的過程。KIT及PDGFRα會激活細胞內的酪氨酸激酶(tyrosine kinase),與ATP結合產生磷酸化以傳遞訊號,誘使「第1道開關」打開。在癌細胞惡性進展過程中,訊號會異常活躍以持續增殖,使病況惡化。睽違10年有新藥!副作用小、用藥更安全在臨床治療上,過去標靶藥物的機轉是直接阻斷「第2道開關」的開啟路徑,使ATP無法進入;但若因此產生抗藥性,腫瘤仍可能持續增大惡化,使「第2道開關」直接打開,以致於ATP能輕鬆進入細胞與酪氨酸激酶結合,癌細胞恐再轉移。然而睽違近10年,台灣引進最新型第4線標靶藥物,已證實有助於將被打開的「第2道開關」關閉,成功阻斷激酶活化的最後防線,防止癌細胞擴散。根據第3期臨床試驗數據顯示,使用第4線標靶藥物,其無惡化存活期較對照組多出5.3個月,平均整體存活期更延長近11.9個月,且副作用更小。臨床試驗中,部分病人在腫瘤惡化後將藥量加倍,其無惡化存活期又可再延長近3.7個月,且副作用與正常劑量無差異。葉俊男補充:「由於胃腸道基質瘤沒有預防方式,且追蹤較為困難,過往若第3線標靶藥物無效,病患只能盲目嘗試用藥。」雖非每位病友都有機會接續到第4線治療,但隨著新型藥物及治療方式問世,新藥也能對提供病友強力的抗戰後援有顯著貢獻。





