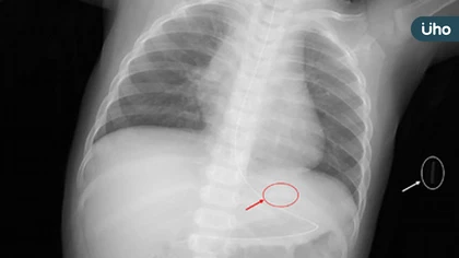
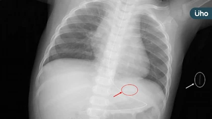
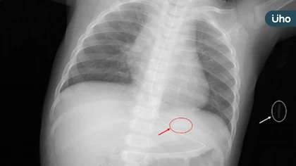
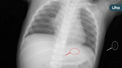
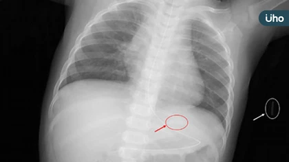
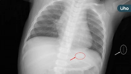
加熱菸審查結果即將出爐,未來可能在台灣「合法上市」,然而國際間已傳出多起兒童誤食加熱菸菸彈導致健康危害的警訊。日本、義大利等已上市國家紛紛出現幼童因誤食菸彈內的金屬刀片(metal blade)而緊急送醫的案例,不僅造成腸胃道傷害,更可能引發尼古丁中毒,威脅兒童生命安全。 8個月內逾40名兒童受害 引發義大利衛生部採取行動 據煙草預防與戒菸(Tobacco Prevention & Cessation,TPC)研究,義大利米蘭毒物控制中心(Milan Poison Control Center, PCC)曾在2024年發布警示報告,僅2023年7月至2024年2月短短八個月內,義大利就發生40起嬰幼兒誤食含金屬刀片(metal blade)的加熱菸彈事件。 其中一名僅11個月大的幼兒因金屬片割傷扁桃腺及口腔,必須接受麻醉及內視鏡檢查治療。為此,義大利衛生部要求義大利國家衛生研究院對該加熱菸產品的安全性進行審查,驗證菸彈內部刀片所構成的實際危害,並重新評估加熱菸彈包裝上的警告標語。 研究顯示,這些意外主要來自名為IQOS Iluma的加熱菸產品,菸彈內部包含鋒利的金屬導熱刀片。更令人擔憂的是,義大利衛生部調查發現,這些菸彈包裝上的警告標示小到幾乎難以辨認,僅有0.5公分×4公分,未能有效警示消費者。 圖/原先加熱菸包裝上的刀片警示小到無法辨認 https://pmc.ncbi.nlm.nih.gov/articles/PMC11243506/figure/f0001/ 圖/政府機關要求放大加熱菸彈包裝上「含有尖銳金屬刀片」的警示文字 https://pmc.ncbi.nlm.nih.gov/articles/PMC11243506/figure/f0002/ 加熱菸合法販售的日本也同樣出現類似案例,福岡大學築紫醫院記錄了一名10個月大女童因誤食母親的加熱菸彈而送醫的案例。醫護人員緊急為女童進行洗胃,X光檢查顯示胃內有一個長12毫米、寬3毫米的矩形異物,取出後證實為加熱菸彈內的金屬刀片。該女童在誤食不到一小時後即出現尼古丁中毒症狀。 而三重大學醫學院的另一案例中,一名7個月大的女嬰誤食菸彈後需進行內視鏡手術,以取出卡在十二指腸的金屬刀片。研究指出,這類金屬刀片邊緣鋒利,誤食可能導致腸道黏膜損傷甚至胃腸道穿孔。 醫療體系認知不足 真實危害恐被低估 更令人憂心的是,大多數急診醫師並不知道加熱菸彈內含金屬導熱刀片,導致無法及時給予病患正確的醫療救助。義大利衛生部已向各地區衛生部門、醫學會及醫療院所發出警示通報,要求加強衛教宣導,提高醫療人員對此風險的認知。 研究也指出,由於醫療人員對此狀況不熟悉,相關案例可能尚未被完整編碼建檔,真實案例數據恐被低估。此外,誤食含尼古丁的菸草,即使劑量很低,也可能引起全身性中毒,初期症狀包括噁心、心跳過快、腹痛、高血壓、焦慮和癲癇發作,嚴重者可能導致呼吸困難、昏迷甚至癱瘓。 加熱菸審查將公布 台灣需借鏡國際強化管理與警示 《菸害防制法》新法已於2023年3月將加熱菸納管,規定業者在製造、輸入前必須通過國健署的健康風險評估。國健署長吳昭軍日前證實,四月將有首家業者審查到期,審查結果可望在期限內公布,一旦通過即可依規定上市。 然而,國內對加熱菸的監管法規、醫療應變機制與衛教宣導仍有不足。政府應借鏡國際經驗,政府應制定更周延的政策規範,加強包裝警示,並向醫療體系提供充分資訊,以預防類似悲劇在台灣發生。
